新华网 > > 正文
2023 02/ 15 11:15:15
来源:北京协和医院

北京协和医院胸外科“妙手”攻坚胸壁复杂肿瘤

字体:

    胸壁肿瘤,发病罕见、成因复杂,药物治疗方案有限,手术治疗被认为是有效的治疗手段。但胸壁肿瘤毗邻器官结构复杂,涉及胸壁的完整性及重要功能,因此手术难度大、风险极高。多年来,北京协和医院胸外科在李单青主任的带领下,每年完成多例胸壁复杂肿瘤切除及胸壁重建术。协和多学科团队精诚协作,为一位又一位患者成功拆除胸壁上的肿瘤“炸弹”——

    58岁的李大爷,曾以手术方式切除鸡蛋大小的胸壁肿瘤,术后病理为增生性肌炎。肿瘤迅速复发并不断增大,成为长在右前外侧胸壁近腋窝处的巨大肿瘤,让患者的右上肢活动受到了严重影响。

    李大爷来到北京协和医院胸外科门诊,经过细致问诊,李单青主任认为,肿瘤可能不单纯是增生性肌炎,应该尽快手术。考虑到肿瘤被切除后,患者胸壁将出现巨大缺损,胸壁完整性及呼吸功能均会受到影响,为此,李单青主任、黄诚副主任医师、郭超主治医师同整形美容外科张海林副主任医师、张文超医师在术前为李大爷量身定制了一套完备的手术方案。

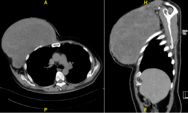
▲李先生术前胸部CT

    术中探查发现,肿瘤与患者的右侧腋血管、臂丛神经关系十分紧密,无疑给手术团队带来了极大的考验。李单青主任细致操作,有效避免了患者血管、神经的损伤,完整保留了患者右上肢的血运及神经功能,手术团队顺利、完整地拆除了患者胸壁上的巨大“炸弹”。

    为了保证患者术后胸壁完整性,手术团队采用与人体具有良好相容性的钛棒进行肋骨及胸骨重建。李单青主任反复塑形、矫正修复材料,以契合患者的基础胸壁状态。胸外科手术团队完成肿瘤切除及骨性结构的重建后,整形外科张海林副主任医师及张文超医师采用右侧背阔肌肌皮瓣转移的方式修复了前胸壁软组织缺损部分,极大限度地保证了患者胸壁的完整和美观。如预期一致,患者术后病理提示肿瘤并非增生性肌炎,而是纤维瘤病。目前,术后近半年的李大爷,无论功能状态,还是心理方面都恢复如常。

    像李大爷这样慕名而来的患者还有很多。长期以来,北京协和医院胸外科与整形美容外科、麻醉科、乳腺外科、血管外科、骨科、重症医学科、手术室护理团队等精诚协作,在胸壁复杂肿瘤的诊治方面积累了大量的诊疗、管理经验。术前多学科诊疗,完善手术方案及备选预案,联合放射科、超声医学科等,引导深部肿瘤的精准定位,完善手术切口个体化设计;术中合理利用胸腔镜等设备,实现复杂胸壁肿瘤毗邻结构的准确观察,达到副损伤的最小化,根据个体特点,人工塑形、矫正骨性结构重建材料,契合人体解剖及功能需求;术后联合多学科查房,确保患者快速、有效康复以及协助综合治疗。

    胸外科长期坚持开展胸部疑难罕见疾病的综合诊治,成立胸壁罕见肿瘤的亚专业组,始终将患者获益作为目标,钻研手术技巧、优化诊疗流程,为疑难罕见病患者打开了希望之门。

【纠错】 【责任编辑:刘延清 】
阅读下一篇:
010030101070000000000000011100001211728940